
こんなお悩みはありませんか?
・今よりも美しい白い歯になりたい
・歯のクリーニングを受けても歯の色が気になる
・歯の色が気になり口元を隠してしまう
・加齢による歯の黄ばみが気になる
高松市いがわ医院歯科では、医科と歯科の連携による総合的な健康管理のもと、患者様に寄り添ったホワイトニングを提供しています。歯科衛生士が患者様一人ひとりに専任で担当し、お口の状態だけでなく全身の健康状態も考慮した最適なホワイトニングをご提案します。
歯の色は生まれつきの色素や生活習慣、加齢などにより人それぞれ異なります。とくに日本人は年齢とともに歯が黄ばみやすい傾向があります。当院の医科連携型ホワイトニングで、健康と美しさを両立した白い歯を目指してみませんか?


医科診療部門との連携により、お口だけでなく全身の健康状態を考慮したホワイトニングを実施。アレルギーや持病のある方も安心してご相談いただけます。
国家資格を持つ経験豊富な歯科衛生士が担当。ホワイトニング前の徹底したクリーニングから施術、アフターケアまで一貫してサポートします。



虫歯や歯周病のチェックを行い、お口の健康状態を最優先。患者様一人ひとりの歯の状態や希望に合わせて最適なホワイトニング方法をご提案します。





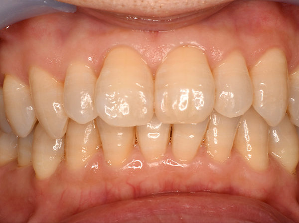
![]() | ![]() |
| 施術前 | 施術後 |
| オフィスホワイトニング | |
内容 ホワイトニング材とホワイトニング専用照射器を併用。 | |
費用(自費) 1回 44,000円(税込) | |
治療期間 1回 | |
副作用とリスク 個人差がありますが、 薬剤が歯肉に触れることで、軽い刺激を感じることがあります。歯の状態によっては、均一に白くならないことがあります。 | |
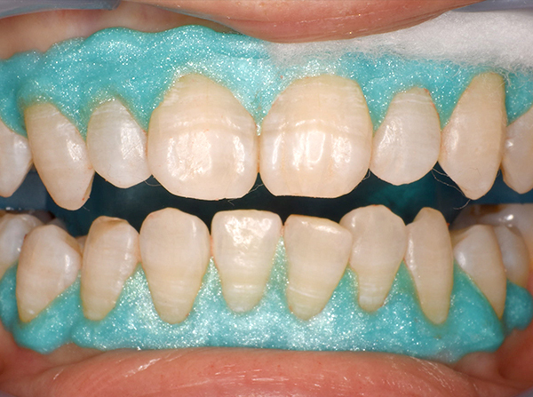
![]() | ![]() |
| 施術前 | 施術後 |
| デュアルホワイトニング | |
内容 ホームホワイトニング※1とオフィスホワイトニング※2の併用 | |
費用(自費) 1回 85,000円(税込) | |
治療期間 オフィスホワイトニング 60分×1回 / ホームホワイトニング 14日 | |
副作用とリスク 個人差がありますが、 薬剤が歯肉に触れることで、軽い刺激を感じることがあります。歯の状態によっては、均一に白くならないことがあります。 | |
![]() | ![]() |
| 施術前 | 施術後 |
| ホームホワイトニング | |
内容 マウスピースの中にホワイトニング材を入れて装着します。 | |
費用(自費) 初回(2週間分) 44,000円(税込)/ 2回目3,300円(税込) | |
治療期間 3ヶ月 | |
副作用とリスク 個人差がありますが、 薬剤が歯肉に触れることで、軽い刺激を感じることがあります。歯の状態によっては、均一に白くならないことがあります。 | |
![]() | ![]() |
| 施術前 | 施術後 |
| インターナルブリーチ | |
内容 変色歯(神経のない歯)に歯の外側と内側から漂白 | |
費用(自費) 1回 33,000円(税込) / 2回目 16,500円(税込) | |
治療期間 1回 | |
副作用とリスク 個人差がありますが、 薬剤が歯肉に触れることで、軽い刺激を感じることがあります。歯の状態によっては、均一に白くならないことがあります。 | |
治療が必要な虫歯や歯周病がある場合、まず治療を優先いたします。ホワイトニング剤が患部に触れると痛みを感じることがあり、症状が悪化する可能性も考えられます。
成長段階にある歯への影響を考慮し、18歳以上の方を対象としています。歯が成長段階にあるため、ホワイトニング剤が歯にダメージを与える可能性があります。
安全性を最優先し、出産・授乳終了後の施術をおすすめしています。薬剤により胎児や乳児に影響を与える可能性があるほか、ホルモンバランスの変化により虫歯や歯周病のリスクが高まることも考慮しています。
体内でカタラーゼという酵素を生成できない方は、ホワイトニング剤に含まれる過酸化水素を適切に分解できず、体にダメージを与える可能性があるため、施術をお断りしています。

冷たいものや甘いもので痛みを感じる状態の方は、ホワイトニング剤の刺激により強い痛みを伴うことがあります。
症状の程度により、薬剤濃度の調整や施術方法の変更で対応できる場合がありますので、まずはご相談ください。
光や日光に反応して炎症が起こる方は、オフィスホワイトニングで使用するブルーライトに反応する可能性があります。
照射器を使用しない方法など、代替手段をご提案いたします。
割れた部分からホワイトニング剤が内部に浸透し、強い痛みを感じることがあります。
深いヒビの場合、歯の神経に炎症を引き起こす可能性もありますが、
状態によっては施術が可能な場合もありますので、まずはご相談ください。
高松市のいがわ医院歯科では、医科診療部門との連携により、アレルギーや持病のある方も安心してご相談いただけます。
全身の健康状態を考慮した上で、最適な施術方法をご提案いたします。
ホワイトニングの効果を維持するためには、
定期的な歯科医院でのケア、色の濃い飲食物の摂取制限、適切なブラッシング、
ホワイトニング専用の歯磨き粉の使用、
そして定期的なホワイトニングをおすすめしております。

ホワイトニング専用の歯磨き粉を使い、
毎日のケアを習慣化することで効果を維持します。
着色しやすい飲み物や食べ物を控え、
特に食後は水で口をすすぐことが大切です。


やさしく丁寧にブラッシングし、
歯と歯茎を傷めないように心がけましょう。
歯科医院での施術を定期的に受けることで、
白さを長持ちさせることができます。

はい、オフィスホワイトニングの場合、一度の施術で歯が白くなります。
しかし、ホワイトニング後の歯の色は時間とともに少しずつ元に戻る傾向があります。
これは、飲食物やタバコなどによる色素沈着が原因です。そのため、定期的なメンテナンスが必要となります。
ホワイトニングの効果持続期間は、個々の生活習慣や口腔内の状態に大きく依存します。
例えば、コーヒーやワイン、カレーなどの色素が強い飲食物を頻繁に摂取すると、
歯が元の色に戻る速度が速まる可能性があります。白さを長持ちさせるためには、
定期的なホワイトニングと、色の濃い飲食物の摂取を控えることが効果的です。
ホワイトニング後も歯の色は必ず後戻りします。
これは、日常生活で摂取する飲食物などに含まれる色素が歯に沈着するためです。
そのため、白さを維持するためには定期的なホワイトニングが必要となります。
ホワイトニングによって歯が不自然に白くなることは少ないです。
ホワイトニングは、歯の自然な白さを引き立てることを目指しています。
そのため、適切な施術を行えば、自然な白さを保つことが可能です。
ホワイトニングには、一部の人に知覚過敏が出る可能性があります。
これは、歯が一時的に敏感になる状態を指します。しかし、これは一時的なものであり、適切なケアを行えば改善します。
ホワイトニング自体に痛みは伴いませんが、知覚過敏が出た場合は一時的に痛みを感じることがあります。
その場合は、ホワイトニングを一時中断し、適切なケアを行います。
その後、痛みが和らいだらホワイトニングを再開します。
このように、高松市いがわ医院歯科では患者様の快適さと安全性を最優先に考えています。
ご不明な点がございましたら、お気軽にご相談ください。
申し訳ございませんが、無カタラーゼ症の方はホワイトニングをお受けいただくことができません。無カタラーゼ症とは、体内で「カタラーゼ」という酵素を生成できない病気のことです。カタラーゼは、体内で発生する過酸化物を無害な物質に分解する働きを担っていますが、ホワイトニング剤には過酸化水素が含まれており、無カタラーゼ症の方は過酸化水素を適切に分解できず、体にダメージを与える可能性があるため、ホワイトニング治療は不可能とされています。
光線過敏症(光線アレルギー)がある方の場合、通常のオフィスホワイトニングで使用するブルーライトに反応して、赤み・かゆみ・腫れといったアレルギー症状が出る可能性があります。ただし、ブルーライトを使用しないホワイトニング方法を選択することで対応できる場合があります。当院では、患者様の状態に合わせて最適な方法をご提案いたしますので、まずはお気軽にご相談ください。
申し訳ございませんが、歯にヒビが入っている場合、ホワイトニングは推奨されていません。割れた部分からホワイトニング剤が内部に浸透し、強い痛みを感じることがあります。また、深いヒビが入っている場合は、ホワイトニングによって歯の神経に炎症を引き起こす可能性もあります。まずは歯の状態を詳しく診査させていただき、ヒビの治療を優先することをおすすめいたします。
ウォーキングブリーチとは、外傷や虫歯によって神経を失った歯に対して行う特殊なホワイトニング法です。神経を失った歯は内部から変色しやすく、通常のホワイトニングでは改善が難しい場合があります。ウォーキングブリーチでは、歯の内部に高濃度の漂白剤を入れ、内側から白くしていきます。1本だけ色が気になる歯に対して、効果的に対応することができます。
ホワイトコートは、歯科専用の白いプラスチックを歯の表面に塗って白くする方法で、「歯のマニキュア」とも呼ばれています。一度の施術で歯を白くすることができ、銀歯や差し歯にも対応が可能です。ホワイトコートの効果は1~3ヶ月程度とされています。長期間、白さを維持したい場合は定期的なメンテナンスが必要です。通常のホワイトニングができない方への選択肢のひとつとしてご提案しております。
PAPホワイトニングやポリリン酸ホワイトニングは、過酸化水素を使用しない代替的なホワイトニング方法です。PAPホワイトニングジェルは過酸化物不使用のため歯にやさしく、知覚過敏が心配な方にも適しています。ポリリン酸ホワイトニングは、歯の表面の汚れを浮かせて除去する方法です。また、研磨剤なしのホワイトニング歯磨き粉を使った毎日のケアで、徐々にトーンアップすることも可能です。通常のホワイトニングが難しい方や、よりやさしい方法をご希望の方にご提案しております。
市販のホワイトニング製品と歯科医院で使用するホワイトニングジェルには、大きな違いがあります。市販品には過酸化水素や過酸化尿素といった漂白成分が含まれていないため、効果は限定的です。一方、歯科医院で処方されるジェルには高濃度の過酸化尿素(10~35%)が配合されており、短期間での効果が期待できます。市販品は数週間から数ヶ月かけて徐々に白くなりますが、歯科処方のジェルは2週間程度で効果を実感できることが多いです。ただし、高濃度のため歯科医師の管理のもとで使用する必要があります。
はい、ホワイトニングジェルの濃度によって効果と安全性のバランスが大きく異なります。10%前後の濃度は副作用リスクが低く、ホームホワイトニングで初心者の方にも安心してお使いいただけます。20%前後になると効果がやや高くなりますが、使用時間や回数の管理が必要です。35%前後の高濃度ジェルは即効性が高い反面、知覚過敏や刺激感が強くなるため、歯科医院での施術時に医師の管理のもとで使用されます。当院では、患者様の歯の状態やご希望に合わせて、最適な濃度のジェルをご提案いたします。
高松市でホワイトニング治療をお探しの方に、年齢による効果の違いについてご説明いたします。 いがわ医院歯科では、患者さま…
ホワイトニングによって歯が脆くなり、虫歯になりやすくなると心配される方もいらっしゃいますが、 その心配は不要です。 …
ホワイトニング用薬剤に含まれる「過酸化水素」が歯を白くするのはなぜでしょう? それは「フリーラジカルの生成」によるもの…
1990年代にホワイトニングが歯科治療に導入された当初、その安全性にはまだ不確実性があり、20歳未満の未成年者には施術が…
ホワイトニングによって期待される輝く白い歯は、ある特定の条件下では得られないことがあります。 特に虫歯に関しては、ホワ…
ホワイトニング後の歯の白さを維持するためには、定期的な検診とクリーニングが非常に重要です。 1.定期的な検診 歯科医…
ホワイトニング後の歯の白さを維持するためには、デュアルホワイトニングもオススメです。 デュアルホワイトニングは、オフィ…
ホワイトニング後の歯の白さを維持するためには、定期的なホワイトニングが重要です。 特にオフィスホワイトニングは、1回だ…
ホワイトニング後の歯の白さを維持するためには、食事に気を付けることが大切です。 特に着色しやすい食品を避けることで、美…